How Often Should You Have Dental X-Rays?

21 Oct

Do you ever wonder how often should you have dental X rays? Why do you need these imaging studies if your dentist sees all of your teeth when you open your mouth? What problems can X-rays detect? Keep reading for the answers to these questions and more.

WHY DO YOU NEED X-RAYS OF YOUR TEETH?

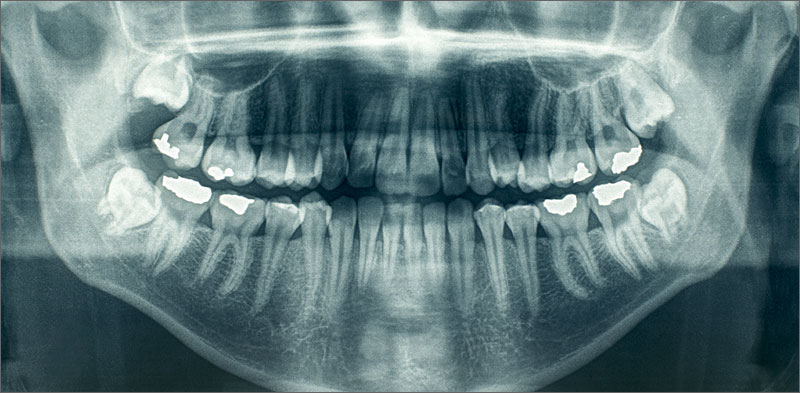
X-rays help your dentist see diseases in your teeth and other oral structures that he cannot see through an oral exam. Many oral diseases start well beneath the surface of your teeth or gums, long before you see signs on the visible surfaces of your mouth. For this reason, X-rays help you gain the early treatment you need, saving you a great deal of time, money, and discomfort.

Dental X-rays help your dentist see many problems, including:

  • Decayed areas between or behind teeth
  • Decay beneath fillings
  • Bone loss occurring because of gum disease
  • Changes in your bones or root canals
  • Abscess infections
  • Cysts, tumors, and other abnormalities

Children have different needs for dental X-rays beyond those of adults. These needs include watching for early signs of decay, deciding if enough space exists in the mouth for incoming teeth, and determining if baby teeth are falling out quickly enough for permanent ones to grow into place. These X-rays also help your family dentist watch for your child’s wisdom teeth, to know if those must undergo extraction.

Digital X-rays or other dental imaging also helps your dentist decide if tooth implants, braces, dentures, or other devices will fulfill your needs. Your dentist uses these X-rays to plan and prepare for those types of procedures.

HOW OFTEN SHOULD YOU HAVE DENTAL X RAYS?

So, how often should you have dental X rays? The frequency of your X-rays depends on your own unique dental and medical health history. It also depends on whether you suffer any dental decay, disease, or other problems, or want to undergo special procedures to correct or improve your smile.

Most people only need new dental X rays once every few years. Others, such as those with gum disease or other dental problems, need to undergo imaging studies every six months or more. Most new patients in a dental practice experience dental imaging on their first visit. These X-rays enable your dentist to get to know your oral health and possible problems you suffer as a new patient.

WHAT OTHER DENTAL SERVICES DO I NEED?

The exact nature of the dental care you need relies on your dental health and goals for your smile. In your first visit with a new dentist, the care provider talks with you about any problems you experience and health history. They also discuss your dental goals with you and how to reach those goals.

Arc Dental provides all of these dental services and more to people in and around Mississauga, ON. Talk to the family dentist when you visit to find an answer to, “How often should you have dental X rays?” Call Arc Dental today at (905) 997-4272 for a consultation appointment.

Tags:
Share:

Leave comment